【护航生命】紧密型医联体显成效,两院协作救治高龄胸痛老人
近日,武宁县总医院人民医院院区依托与南昌大学第一附属医院的紧密医联体协作机制,成功为一名高龄患者完成冠脉造影检查与支架植入手术。
患者为80多岁的段奶奶,确诊为不稳定型心绞痛。因其高龄、女性、低体重的身体状况,手术风险高、操作难度大,且患者本人无法耐受长途转院的奔波劳顿。在医联体合作框架下,南昌大学第一附属医院下沉优质医疗资源,组织心血管内科主任彭小平教授团队到武宁,为老人实施高难度经皮冠状动脉支架植入术。手术圆满成功,彻底解决了困扰患者的反复胸痛顽疾。目前患者生命体征平稳,正处于康复阶段。通过“患者不动专家动”的创新服务模式,医院成功打通患者就医难题的“最后一公里”,让群众在家门口就能以县级医院的费用,享受到省级顶尖专家的技术服务。

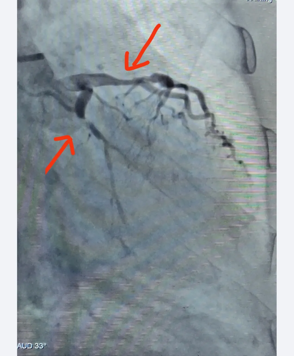
手术前
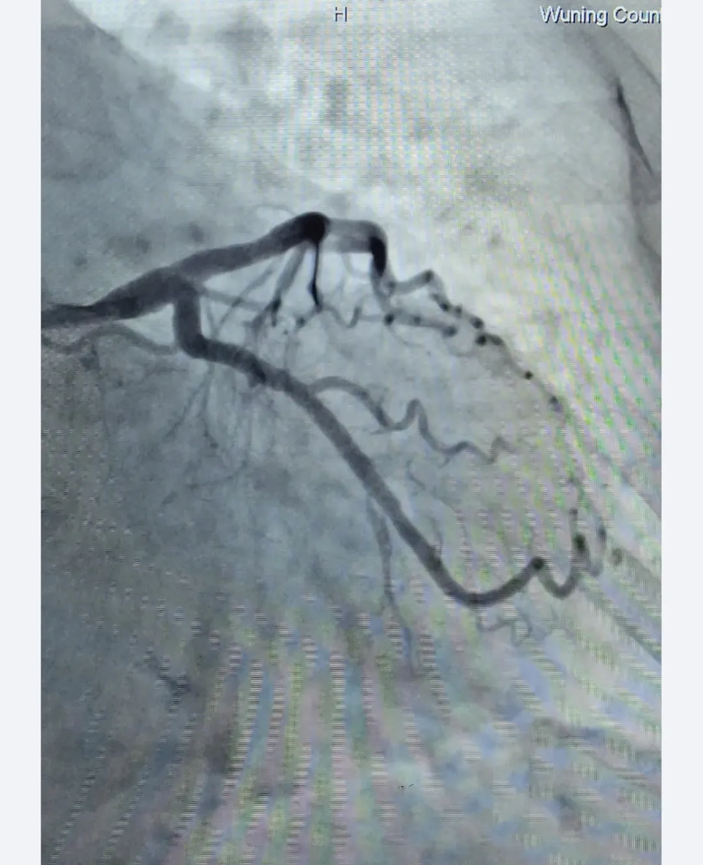
支架植入后
手术前
支架植入后
此次成功救治充分彰显了医联体建设的显著成效。医院将持续深化与省级医院的合作,定期邀请知名专家来院坐诊、开展手术及教学活动,通过技术帮扶、资源共享等方式,切实推动优质医疗资源下沉基层,让群众在家门口就能享受到省内龙头三甲医院的医疗服务。下一步,人民医院院区将继续立足本职,深化与上级医院的合作,强化学科建设、提升技术水平、优化服务质量,以专业技术造福更多百姓,为人民群众的健康保驾护航。
专家简介

彭小平
南昌大学第一附属医院胸痛中心主任、心血管内科党总支书记、科主任、江西省高血压病研究所所长、主任医师、教授、医学博士、博导、留美归国学者、井冈学者特聘教授。
国家卫健委、中国医师协会心血管介入培训导师、国家心血管专科规范化培训导师、CTOCC成员、CTO老伙计成员、中国医师协会心脏重症专业委员会重症结构性心脏病学组副组长、中国康复医学会心脏介入治疗与康复专业委员会第二届委员会常委、江西省医学会介入心血管病学分会/江西省整合医学会心血管病学分会/江西省中西医结合学会心血管病学专业委员会主任委员等。
主持国家自然科学基金3项,发表SCI等论文数十篇。获第二届全国高校教师教学创新大赛部属高校正高组一等奖、全国青年岗位能手、国家改善医疗服务突出贡献工作者、全国科普先进工作者、江西省卫生健康突出贡献中青年专家、江西省抗击新冠肺炎疫情先进个人等。
擅长冠脉介入、瓣膜介入、起搏器植入等介入治疗及冠心病、高血压、心力衰竭等心血管疾病防治,完成全国及江西省首例手术三十余项。
科室地址:武宁县总医院人民医院院区住院部10楼
咨询电话:0792-2771702
责编:邹桂丽

用户登录
还没有账号?
立即注册